疼痛领域 (PAIN)
伤害感受器具有功能性的性别差异:从老鼠、猴子到人类
这项发表在《Brain》杂志上的里程碑式研究证明,人类伤害感受器在功能上存在男性或女性的差异 。通过对小鼠、猕猴和人类背根神经节 (DRG) 神经元进行膜片钳电生理研究,团队发现了一个惊人的双重解离:催乳素选择性地使女性伤害感受器致敏,而食欲素 B 则选择性地使男性伤害感受器致敏 。这些保守的性别特异性效应与感觉神经元中差异化的受体表达模式相关 。AnaBios 扮演了关键的转化角色,通过其供体网络采购高质量的人类 DRG 组织,应用专利的外科回收和处理技术,并制备活性人类感觉神经元用于功能分析 。这项工作为人类伤害感受器致敏中的性别二态性提供了首个功能性证据,并强化了基于人类组织的模型对于精准疼痛治疗的重要性 。
人类背根神经节中遗传性感觉和自主神经病 2A 型 (HSAN2A) 基因与无赖氨酸激酶 (WNK1) 的表达模式分析与表征
在这项发表于《Experimental Neurology》的研究中,研究人员界定了人类背根神经节 (DRG) 中 WNK1 的组织特异性剪接图谱,重点关注在 HSAN2A 中受损的 HSN2 外显子 。作者利用长读长和短读长 RNA 测序、生物信息学分析、蛋白质建模和多重原位杂交,证明了特定的 WNK1 剪接变体在人类 DRG 中富集,并定位于特定的感觉神经元亚型,从而提供了一个将剪接异常与感觉神经元功能障碍联系起来的机制框架 。AnaBios 通过其专利的采购和处理平台提供高质量的人类 DRG 组织,实现了在原生人类感觉神经元中进行直接分子分析,为这项工作奠定了转化基础 。
镇痛候选靶点腺苷 A3 受体在人类背根神经节周缘巨噬细胞和脊髓小胶质细胞中表达
本研究检查了人类背根神经节和脊髓中腺苷 A1 和 A3 受体的细胞表达,以阐明新兴的腺苷类镇痛药在人体中的作用方式 。通过使用与 AnaBios 合作回收和处理的高质量人类组织,并结合转录组学和多重原位杂交,作者发现 ADORA3 不在人类感觉神经元中表达,而是几乎完全定位于背根神经节的神经元周缘巨噬细胞和脊髓的小胶质细胞中 。相比之下,ADORA1 在多种神经元亚型中广泛表达,包括伤害感受性和非伤害感受性群体 。这些发现重新定义了 A3 受体激动剂在神经病理性疼痛中可能的机制,并突显了在转化药物发现中直接进行人类组织分析的重要性 。
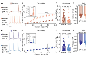
针对催乳素的抗体,用于预防压力诱导的周围伤害感受器致敏和女性术后疼痛
术前压力和焦虑会加剧术后疼痛,尤其是在女性群体中,但其背后的生物学机制此前尚不明确。发表于PNAS的这篇论文发现,女性主导的催乳素 (PRL) 是导致背根神经节伤害感受器(痛觉神经元)敏感化的关键因素。研究表明,压力会诱导 PRL 信号转向“短型”受体异构体,从而引发痛觉过敏,而通过抑制 PRL 或进行基因干预可以阻断这一过程。至关重要的是,一种新型单克隆抗体 PL200,019 在人类女性神经元和“人类化”小鼠模型中均成功预防了这种敏感化。这些发现表明,术前针对 PRL 进行干预有望显著减轻女性的术后疼痛并减少对阿片类药物的依赖。
心脏领域 (HEART)
Ulacamten:一种新型 RLC 靶向心脏肌球蛋白抑制剂,用于治疗包括 HFpEF 在内的心脏高收缩性疾病
本研究介绍了一种下一代心脏肌球蛋白抑制剂——ulacamten。其作用机制不同于 mavacamten 和 aficamten,并探讨了其在治疗高收缩性心脏病方面的潜力 。读者将深入了解 ulacamten 如何通过结合肌球蛋白的调节轻链结合区,选择性地调节双头肌球蛋白,并在生化、细胞、工程化心脏组织和体内 HFpEF 模型中降低收缩力 。重要的是,ulacamten 在临床前 HFpEF 模型中改善了舒张功能并减少了纤维化 。AnaBios 的贡献: 通过利用成人原代心肌细胞进行转化收缩力分析,展示了基于人类组织的平台如何降低心脏药物研发风险并增强临床转化的信心 。
Etrasimod 在 S1P 受体调节剂中独特的药理特性
这项发表在《FEBS Open Bio》上的研究全面表征了 etrasimod(一种选择性磷酸鞘氨醇-1-磷酸 (S1P) 受体调节剂)在多种受体亚型和功能系统中的药理特性 。作者利用受体图谱、信号传导分析和功能性心脏模型,确定了 etrasimod 的选择性、效力及下游信号行为,为其治疗特征和安全性考量提供了机制见解 。值得注意的是,AnaBios 的科學工作者利用成人原代心肌细胞和基于人类组织的功能分析,对该研究的转化心脏部分做出了贡献,以评估原生人类系统中的受体介导效应 。这项工作强调了人类组织平台在降低 S1P 受体调节剂风险和完善药物开发过程中循环系统安全性评估方面的价值 。
整合药物对个体心脏离子电流和心脏动作电位的影响,以理解非临床转化至临床 ECG 的变化
在这项发表于《Frontiers in Pharmacology》的研究中,研究人员将药物对单个心脏离子通道的影响与人类心室组织的动作电位记录相结合,以更好地理解非临床电生理数据如何转化为临床心电图 (ECG) 结果 。团队利用具有生理相关性的膜片钳方案和离体人类心室小梁,评估了多离子通道阻滞及其对动作电位时程、三角化和促心律失常风险的影响,突显了实验设计在解读心脏安全性数据中的重要性 。AnaBios 通过利用供体心脏、严格的采购标准和高保真电生理平台,在执行人类心室肌细胞和小梁动作电位研究中发挥了核心作用 。该工作强化了基于人类组织的分析在提高临床开发中药物诱导的 QT 间期延长和心律失常风险预测方面的价值 。
利用高强度白光高效去除人类神经组织中天然存在的脂褐素自发荧光
这项于 2025 年发表在《Journal of Pain》上的研究解决了人类背根神经节 (DRG) 研究中的一个主要技术障碍:高水平的脂褐素驱动自发荧光会遮盖解剖的人类组织中的多重荧光原位杂交信号 。作者开发并验证了一种可扩展的光漂白方案,该方案在大幅降低脂褐素干扰的同时,保留了跨多个波长的目标 mRNA 信号,从而能够对人类伤害感受器进行更准确的分子分型 。通过改善人类 DRG 切片中的信噪比,这项工作增强了用于识别临床可行镇痛靶点的转录组分析的可靠性 。该研究也反映了 AnaBios 对推进基于人类组织的疼痛研究的承诺,公司领导层参与了这项工作,并支持高质量的人类 DRG 研究,以增强镇痛药物发现的转化相关性 。
原代人类与犬心室肌细胞肌节缩短和钙瞬变的评估
在这项发表于《Journal of Pharmacological and Toxicological Methods》的研究中,研究人员对成人人类和犬心室肌细胞进行了严格的侧向比较,以评估肌节缩短和钙瞬变同步测量作为心脏安全性和正性肌力评估转化模型的价值 。利用 IonOptix 平台,团队证明了地面运输的人类心肌细胞在分离后几天内仍能保持结构完整性和功能稳定性,并对 β-肾上腺素受体激动剂、PDE3 抑制剂和钙增敏剂表现出与犬心肌细胞相当的药理反应 。AnaBios 在采购符合伦理的供体心脏、使用专利方法分离高质量原代人类心室肌细胞以及实现活细胞运输以进行下游功能测试方面发挥了核心作用 。这项工作突显了可扩展的人类心肌细胞分析在临床前心脏安全性和有效性评估中日益增长的可行性与价值 。
Cyclin A2 诱导成人心肌细胞胞质分裂并驱动小鼠重编程
研究人员发现,在出生后处于“沉默”状态的细胞周期调节因子 Cyclin A2 (CCNA2) 能够成功诱导成年人类心肌细胞的胞质分裂(细胞分裂)。通过使用腺病毒载体递送 CCNA2,研究团队观察到成年心脏细胞分裂成了功能性的子代细胞,并保留了完整的肌节结构和钙信号传导能力。单核和深度大块 RNA 测序进一步揭示了负责这种再生行为的特定遗传通路和细胞亚群。这些发现填补了动物模型与人类应用之间的空白,证实了 CCNA2 作为心脏修复基因疗法的巨大潜力。
企业动态
联系我们
地址:1155 Island Ave, Suite 200, San Diego, CA92101
联系人: 林镓敏
微信 WeChat ID: JamieMin2689
Email: info@anabios.com
-
ꁸ 回到顶部
-
ꂅ 88888888
-
ꁗ QQ客服
-
ꀥ 微信二维码
